
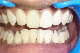
Real people, real smiles







How toothsi teeth whitening works:
Our certified dentists and orthodontists handle the entire whitening process, delivering safe and effective results.
- 01
Schedule a visit at your nearest makeO experience centre for an initial assessment.
- 02
A certified dentist evaluates your teeth's current condition
- 03
Based on your goals, the dentist suggests the number of sessions required
- 04
A 60-70 minute session includes cleaning, polishing, and applying a bleaching agent

Stains and Discoloration
From tea, coffee, red wine, or smoking, surface stains can dull your smile.

Yellowing Teeth
A natural result of aging or diet, this is a sign you may benefit from whitening.

Dull, Lackluster Smile
Loss of shine and plaque build-up due to daily wear, which whitening can help restore.

Genetic Discoloration
Genetics influence your teeth's natural shade, but whitening can counter hereditary yellowing.
Superior quality, affordable prices
toothsi teeth whitening treatment is designed to deliver safe, effective, and long-lasting results.


Pricing varies based on the treatment intensity, and the number of sessions required, as deeper stains may need multiple sessions for optimal results.
Whitening kit
₹3,999
Whitening treatment
₹6,999
Cleaning treatment
₹1,799
Other services we offer
Shop by teeth care
makeO smile & skin centre
Walk in for a free consultation with our doctors
FAQs
How does teeth whitening work?
Teeth whitening involves applying a bleaching agent that breaks down stains on your teeth, making them appear lighter by up to 3 shades in one session.
Is teeth whitening safe?
Yes, toothsi’s teeth whitening treatment is safe and performed by certified dentists using non-invasive methods that are gentle on your enamel.
How long does the procedure take?
Each session lasts between 60 to 70 minutes, depending on the current shade of your teeth and the desired level of whitening.
Will teeth whitening cause sensitivity?
Most patients experience little sensitivity. However, if you have sensitive teeth, our dentists will recommend suitable care before and after the treatment.
How long do the results last?
With proper maintenance, results can last 2 to 2.5 months after one session. Avoiding staining foods and drinks, like tea or coffee, in the first 24 hours helps prolong results.
How many sessions will I need?
Depending on your current tooth shade and desired outcome, most people see results after just one session, but up to three sessions may be recommended for optimal results.
What aftercare should I follow?
Follow your dentist's post-care instructions, including avoiding dark-staining foods and beverages for 24 hours and maintaining regular dental hygiene for long-lasting whiteness.















